下载或打开 医联APP 查看完整评论
立即下载
打开APP
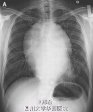
患者为30岁男性,2个月以来胸闷,气短,伴呼吸困难,吞咽困难,吞咽疼痛及体重下降14KG。3年前因I期精原细胞癌行睾丸切除术,术后失访。

心脏查体为窦性心率,并无杂音和奔马律,双肺听诊呼吸音清胸片以及CT发现后纵隔巨大包块。实验室检查发现人绒毛膜促性腺激素升高,为4miU/ml,正常<3。乳酸脱氢酶1400U/L(正常140-270)。甲胎蛋白正常。

遂活检,显示为精原细胞癌。患者接受了3周期博来霉素、斯托泊苷、顺铂化疗后,肿块缩小明显。

患者随访10年,无任何症状且每4个月随访一次。精原细胞癌转移至纵隔较为少见,且本例患者化疗效果较为理想,值得参考学习。N Engl J Med August 21, 2014。DOI: 10.1056/NEJMicm1314944