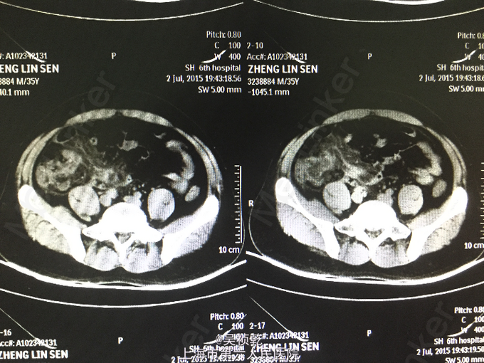
患者男性,35岁。因“右下腹疼痛1天,伴恶心、呕吐”入院。患者1个月前无明显诱因下脐周疼痛,后转移至右下腹,疼痛固定。无恶心呕吐,无头晕乏力。于外院拟尿路感染治疗,补液消炎1周后症状缓解。昨日下午,右下腹疼痛加剧,伴发热,体温约38.2摄氏度,有恶心,呕吐症状。故来我院治疗,完善各项检查,查腹部CT;阑尾形态增粗伴阑尾壁肿胀,回盲部及阑尾周围可见大量渗出,前列腺密度均匀,未见明显增大,两侧精囊未见明显异常,膀胱充盈可,盆腔未见明显肿大淋巴结,盆腔未见明显积液,。为进一步治疗收住入院。患者自起病以来,精神可,胃纳差,大便如常,小便如常,体重未见明显下降,睡眠一般。
查体:腹部平坦,无胃肠型。腹壁柔软,有压痛,位于右下腹,伴反跳痛,无腹部包块,振水音阴性,未触及肝;未触及脾 ,无移动性浊音,肝区无叩痛。肠鸣音正常。结肠充气试验:阴性;腰大肌试验:阴性;闭孔内肌试验:阴性。 辅查:2015-7-3 生化检验报告:血清钠(干式) 136 mmol/L ↓,总蛋白(干式) 60 g/L ↓,白蛋白(干式) 32 g/L ↓,谷草转氨酶(干式) 14 U/L ↓,总胆红素(干式) 62 μmol/L ↑。 血常规检验报告:白细胞 14.3 X10^9/L ↑,红细胞 5.18 X10^12/L ,淋巴细胞百分比 9.5 % ↓,嗜酸性细胞百分比 0.1 % ↓,中性细胞百分比 84.8 % ↑,嗜酸性细胞绝对值 0.01 X10^9L ↓,单核细胞绝对值 0.8 X10^9L ↑,中性细胞绝对值 12.1 X10^9L 腹部CT:阑尾形态增粗伴阑尾壁肿胀,回盲部及阑尾周围可见大量渗出,前列腺密度均匀,未见明显增大,两侧精囊未见明显异常,膀胱充盈可,盆腔未见明显肿大淋巴结,盆腔未见明显积液,。






患者入院诊断:急性阑尾炎,入院后本准备急诊手术,但患者家属坚决要求保守治疗,故予保守治疗,但患者第二天腹痛症状及体征没有缓解,且出现高热伴巩膜轻度黄染,诊断为:急性阑尾炎伴周围大量渗出,同时合并门静脉炎,故于第二天行阑尾切除术,术中见腹腔内渗出液100ml(脓液),有臭味。阑尾长10cm,粗直径1cm,阑尾有坏疽,多处穿孔,根部坏疽穿孔,阑尾与小肠粘连,阑尾为回肠后位。分离粘连,结扎处理阑尾系膜,于阑尾根部切下阑尾,阑尾根部之回盲部行间断缝合修补 残端闭合方式 。探查回盲部及升结肠根部10cm,回肠末端30cm,未见其他病变。 于回盲部修补处放置双套管一根,盆腔放置负吸球一根,清点纱布及器械无误,逐层关闭切口,切口留置皮片引流。术后诊断:急性阑尾炎伴坏疽穿孔,术后予抗炎等对症支持治疗,术后仍有反复发热,术后3天体温消失,术后一周恢复出院。
阑尾炎穿孔是指阑尾由于多种因素而形成的炎性改变,当其严重时,形成孔。穿孔大多会形成炎症、畸形、窦道、瘘管等病理改变。阑尾穿孔后,大量细菌就会被腹膜及肠系膜吸收进入血液循环而引起败血症,威胁生命。引起腹腔中毒性感染,严重感染可致肠坏死威胁生命。腹膜炎后引起肠粘连致完全性肠梗阻威胁生命,因此及早手术很关键。