下载或打开 医联APP 查看完整评论
立即下载
打开APP
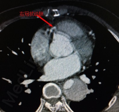
患者男,44岁,10年前因为升主动脉瘤行升主动脉置换;最近发现主动脉夹层入院。
CT :主动脉夹层

诊断:主动脉瘤合并主动脉夹层 处理:bentall+全弓置换+象鼻
讨论:这一例病人做完手术的时候心电图显示ST段抬高,术后超声心动示左房后壁几乎无运动,于是仔细查看胸部CT,原来这个病人有三个冠状窦开口!也就是回旋支和前降支分别开口于主动脉根部,一共有3个冠状动脉开口!但是bentall手术只吻合了两个冠状窦口,造成病人心肌(左心室后壁——回旋支供血区)缺血。冠状动脉开口变异非常罕见,这真是百密必有一疏,希望大家引以为戒。二进宫时,患者右心跳动良好,左心基本无跳动,于是安置左心引流管,分流一部分血液出来,减轻左心室前负荷。


