下载或打开 医联APP 查看完整评论
立即下载
打开APP
患者男,66岁,因“肛周疼痛及左下肢麻木4+月,大小便障碍1+月”入院;4+月前,患者无明显诱因出现肛周疼痛、臀部及左下肢麻木,无肢体活动障碍,遂至当地医院就诊,考虑骨质增生,给予中药、针灸、理疗等间断治疗3个月,患者自觉症状加重。1+月前患者出现大小便排便困难,为求进一步治疗,遂至阿坝军区医院就诊,考虑为骨盆肿瘤,建议转上级医院诊治,遂来我院,门诊以“左骨盆III区软骨肉瘤”收入我科。自起病以来,精神、饮食、睡眠可,大小便排便困难,体力体重无明显变化。


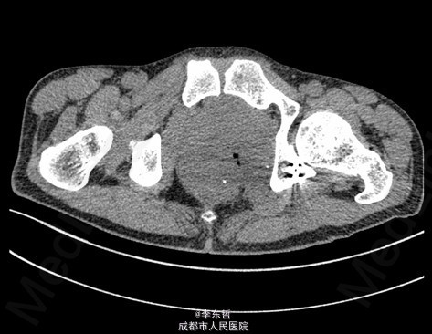
查体:臀部、会阴部、下腹部未触及包块,左下肢前内侧皮肤感觉较对侧减弱,双侧膝反射、跟腱反射正常引出,肛周皮肤感觉减退,直肠指检可触及质韧包块,活动度较差。双下肢肌力5级,双下肢各关节活动度可。 辅查:外院增强CT示:盆腔左侧壁见团块状软组织密度影,密度不均,其内见多发斑块高密度影,病灶大小约9.4*7.6cm,增强后强化不明确。我院X片示:左侧闭孔及耻骨区见不均匀高密度影,大小约6.2*6.7cm。我院MRI示:盆腔左份见长T1长T2肿块影,大小约10.3*7.7*10.5cm,向前推挤膀胱,向右推挤前列腺。我院骨扫描显示:耻骨联合及左侧耻骨支核素浓集。



初步诊断:左骨盆III区软骨肉瘤 诊疗计划:1、向患者及家属交待病情及注意事项。2、向上级医生汇报患者病情。3、完善术前相关检查。4、给予对症支持治疗。5、择期手术。6、密切观察病情变化,根据病情及时处理。



术后1个月随访,未发现异常。
