患者女,78 岁,因“在家跌倒致面部挫伤1天。”入院。入院前一周,患者晚上从梦中醒来出现非眩晕性头晕、乏力和视力模糊症状,进食后这些症状消退。在过去 1 个月内,患者食欲下降,体重明显减少 4kg。患者女儿患有 Graves 病。
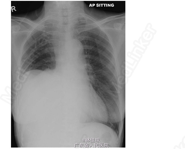
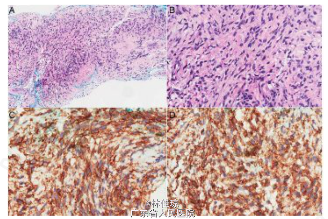
查体:生命体征正常,甲状腺肿大,中等大小,质地柔软,胸壁和右臂静脉扩张,无杵状指或发绀。第三肋下肺叩诊呈浊音,右胸下半部分呼吸音减弱;气管无偏斜。心腹查体均未见明显异常。 辅查: 末梢血血糖值为 1.9mmol/L。 血常规、生化、甲功均正常; 胸部 X 线片:显示胸部右下区占位性病变,密度均匀,界限清晰,右侧膈肌明显升高并可能膨出。 CT 扫描:胸部右下方有一巨大肿块,病变不均匀强化,大小 11.6×16.3×15.6cm;临近肋骨无破坏,但是临近肺、上下腔静脉受影响,证明为巨大胸膜纤维瘤。 组织病理学检查:对肿块进行 CT 引导下肺穿刺活检和组织学检查,可见梭形肿瘤细胞;有丝分裂像少见;梭形细胞 CD34 和 bcl-2 阳性,AE1/3 和 S-100 阴性。这些特征与孤立性纤维性肿瘤(SFT)一致。






Doege-Potter 综合症(DPS) 处理:针对症状整晚静脉滴注 10% 葡萄糖。最初让患者尝试使用二氮嗪治疗,剂量 100mg, 每天 2 次,由于低血糖与胰岛素无关,停止使用该药物。最后,通过多次少量进餐,睡前吃一些零食,每天 2:00 和 6:00 时预防性饮用一些含糖饮料,患者低血糖症状得到缓解。 手术前,给予患者短疗程泼尼松以增高血糖水平。最后对患者行确定性治疗手术—右后外侧开胸术,切除胸膜瘤。术后一周对患者进行复查,血糖恢复正常,血糖值 5-10mmol/L。术后 7 天,患者病情稳定,出院。

低血糖引起的跌倒摔伤在老年人中是比较常见的糖尿病及其治疗并发症。没有糖尿病时,可以考虑其它原因,如严重肝脏和肾脏疾病、多种药物疗法、长时间饥饿、酒精中毒、脓毒血症和其它内分泌疾病。恶性肿瘤在极少数的情况下也可表现出低血糖症状。 doi:org/10.1155/2015/252157