打开应用

瓷贴面修复

张医师   空军军医大学口腔医学院

主诉 病史

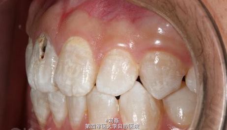
患者男 23岁,学生,目标是做一名主持人,但是因从小家乡水质不好,所以形成了氟斑牙,要求铸瓷贴面修复。

查体 辅查

11有深龋,氟斑牙

诊断 处理

铸瓷贴面修复

随访 讨论

患者下牙的牙龈较薄,但是因制备中的疏忽仍然选用了00的排龈线,使下牙牙龈在排龈中受到损伤,在戴牙后发现32的牙龈萎缩1MM,形成了“龈上肩台”。

发布于 15-07-07 16:14

8 个评论

发送