下载或打开 医联APP 查看完整评论
立即下载
打开APP
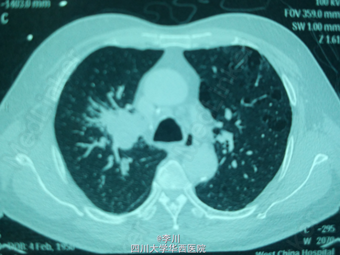
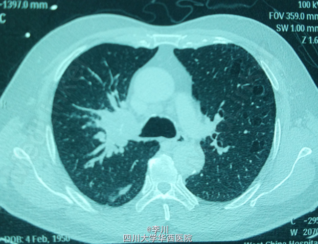
患者为65岁男性,因感冒后咳嗽咳痰2+月,加重伴咳血1月入院。患者患病期间,于外院予输液抗炎治疗后无明显好转。

心肺腹查体无特殊异常。行胸部CT示:右主支气管内软组织影,大小约3.6*5.2cm,右上叶支气管开口变窄。纤支镜:右主支气管新生物,完全阻塞右肺上叶支气管;病理:查见鳞癌。

诊断为:右肺中央型鳞癌。于全麻下行右肺上叶切除+支气管袖式成形+系统淋巴结清扫术。术中见:肿块位于右肺上叶,约5cm大小,清扫2,4,7,10,11,12组淋巴结。手术过程顺利。


患者手术顺利,术后3月随访无明显复发。支气管袖式肺叶切除术除支气管袖状切除,同时还将该段支气管的肺叶一并切除。由于解剖上的原因,临床上最容易和最常见的是右上肺袖式肺叶切除术。如果肿瘤侵及肺动脉干,则可能同时要进行血管成形术。