患者男,42岁,因“上腹部隐痛不适2月”入院。2月前患者无明显诱因出现上腹部隐痛,无放散,无恶心、呕吐,可排气、排便,2015-3-5于当地医院住院治疗,诊断为“慢性胃炎、胃窦黏膜下隆起病变(胃间质瘤?)”。发病以来,体重无明显变化。否认家族胃肠恶性肿瘤病史。
查体:腹软,全腹无压痛,反跳痛,未触及包块。 血常规,肝肾功能等未见明显异常。 腹部CT检查示:胃窦部近幽门处可见一长条低密度影病灶,测脂肪密度,增强后病灶未见明显强化。CT诊断为:胃窦部近幽门处异常密度影,考虑为良性,脂肪瘤可能。
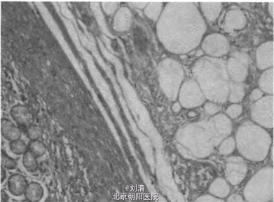
初步诊断:胃窦黏膜下肿瘤,脂肪瘤? 予行胃窦黏膜下肿瘤(脂肪瘤)+内镜黏膜下剥离术。患者行胃镜检查后于胃窦后壁近幽门见一半球型黏膜隆起,表面光滑,用氩离子凝固术标记病灶四周,见黄色瘤体,用HOOK刀及IT刀完整剥离病灶,创面血管用热活检钳及氩气处理。 病理大体示:灰红椭圆形组织一枚,大小2.5 cm×1.6 cm×1.3 cm,切面灰白灰黄, 质中等偏软。 石蜡病理为:胃黏膜肌下脂肪瘤 术后诊断:胃黏膜肌下脂肪瘤 患者术后恢复良好,未诉不适。


患者于术后3个月及1年复查胃镜,未见明显异常。 胃脂肪瘤来源于胃间叶组织,其发病率极低,约占胃良性肿瘤的3%左右,大约90%的胃脂肪瘤位于黏膜下层,基本单发,偶见多发。本病好发于中老年人,无性别差异"J。由于此型肿瘤的发病率低,又常伴有黏膜隆起及溃疡,故临床上极易误诊为胃癌或胃平滑肌瘤,导致过度治疗。胃脂肪瘤早期诊断有利于疾病的治疗,由于胃脂肪瘤大多位于黏膜下层,故胃镜活检时常由于取材过浅而漏诊,当胃镜检查时发现“枕垫征”(cushion sign),“帐篷效应”(tenting e艉ct)或“裸脂征”(nake fat sign)时,应高度怀疑脂肪瘤。反复一处活检有利于发现病变。cT或MRI检查对胃脂肪瘤的定性诊断有很大的作用,CT下胃脂肪瘤表现为脂肪密度肿块,而且不强化,故CT为胃脂肪瘤可靠的无创术前检查。本例也是通过cT辅助检查而大致确定了肿块性质,避免了病人剖腹探查的风险。