患者,女,67岁,因“突发言语不清12天伴意识障碍2天”入院。患者12天前无明显诱因突发言语不清,伴左上肢无力,无头痛、恶心、呕吐等伴随症状,立即至当地医院就诊,住院治疗后患者症状缓解不明显,2天前患者突发意识障碍,立即行头颅CT示右侧大面积脑梗塞。患病以来,浅昏迷状态,鼻饲饮食。 既往高血压病史,最高220/110mmHg,平素控制不佳
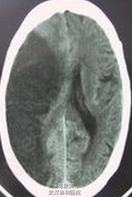
BP289/180mmHg,余生命征平稳,神志浅昏迷,查体合作,急性病容,心肺腹未见明显异常,双侧瞳孔等大等圆,对光反射减弱,左侧鼻唇沟变浅,颈强1指,四肢肌张力均增高,肌力检查不配合,右侧肢体偶见自发活动,左侧肢体疼痛刺激有反应,左侧巴氏征(+),右侧巴氏征可疑(+)。 B型脑尿钠肽106.4pg/ml,CK-MB12.6ng/ml,TNI289pg/ml,肌酸激酶1128U/L,乳酸脱氢酶330U/L,血钠150.3mmol/L 当地医院头颅CT示大面积脑梗。 入院后查颅脑CT:右侧额顶岛颞及部分枕叶见大片低密度影,其间散在高密度影,考虑大片脑梗塞并少许梗塞后出血。右侧脑肿胀,右侧脑室受压移位,中线左移越1.7cm,考虑大脑镰下疝 肺部CT:两下肺纹理稍粗乱,为少许炎症;两侧少量胸水,肝脂肪变,肝右叶钙化或结石,左叶小囊肿可能 出院前CT:右侧大脑半球大片状低密度灶,考虑为脑梗塞,较前密度减低、肿胀减轻,中线结构左移较前明显好转

诊断:1、大面积脑梗塞 2、脑疝形成 3、高血压病3级 极高危组 处理:告病危,持续心电监护、吸氧、加强脱水(静滴甘露醇,肌注速尿),利喜定静脉泵入,降血钠,动态监测患者心肌酶、BNP、心电图等变化,建议于脑外科行手术治疗,家属拒绝,要求保守治疗。
脑梗塞最常见的病因是动脉粥样硬化,其次为高血压病、糖尿病和血脂异常等。大面积脑梗一旦出现脑疝,生存机会则减小,中线结构位移超过10mm,生存机会仅10%左右。