患者,男,63岁,因“反复发热1月,胸闷、气促5小时”于2015年1月3日入院。患者1月前拔牙后约6小时出现发热、寒战、咳嗽,咳少量白痰,无鼻塞、流涕,无胸闷、心悸等。自行服药后症状好转。但发热等症状仍反复发作。5小时前患者于睡眠中突发胸闷、气促,伴大汗,送至我院急诊科后查心电图示“快速心房颤动,心率125次/分”,我科会诊后转入。发病以来,患者精神一般,饮食可,二便正常,体重无明显减轻。既往史:自诉70年代曾行心脏手术,98年于广东省人民医院行“二尖瓣置换术”。余病史无特殊。
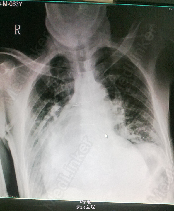
查体——体温36℃,脉搏110次/分,呼吸18次/分,血压137/95mmHg。神志清楚,精神状态较差,半卧位,急性痛苦病容,表情痛苦。前正中线可见一自胸骨上窝至剑突纵行手术疤痕,另可见一平行于第5肋上缘水平疤痕与纵行疤痕相连。双肺呼吸运动对称,肋间隙未见异常,双侧语颤对称。双肺呼吸音粗,可闻及呼气末少量哮鸣音、少量湿罗音。心前区无隆起,心界向两侧扩大,心率125次/分,心律绝对不齐,第一心音强弱不等,未闻及早搏。二尖瓣区闻及机械瓣关闭音。双下肢无水肿。余查体无异常。 辅查——血常规:白细胞计数18.05G/L,中心粒细胞计数14.64G/L。BNP 10804ng/l,血沉27mm/h,PCT 0.28ug/l,肾功能正常。胸片(图1):两肺肺水肿征,心影扩大。心脏彩超(图2):左室心肌收缩普遍减弱,EF30%,双房及左室腔增大,二尖瓣人工瓣膜表面毛糙,前瓣活动,后瓣未见明显活动,二尖瓣口CDFI检出舒张期两股血流,建议食道超声进一步检查明确。颈动脉彩超:双侧颈动脉内膜粗糙增厚,右侧壶腹部附壁斑块形成。抽血送血培养。


予硝普钠、托拉塞米、西地兰治疗,症状改善不明显,继予静滴胺碘酮,2h后心率降至90次/分,胸闷、气促症状缓解。后予口服利尿、补钾、地高辛控制房颤心室率、华法林抗凝、哌拉西林/他巴唑坦抗感染。血培养示:链球菌+。确诊:1.亚急性感染性心内膜炎;2.急性左心衰;3.持续性房颤;4.风湿性心脏病:二尖瓣狭窄,二尖瓣机械瓣置换术后。改用青霉素及莫西沙星。复查INR 5.93,停用华法林;复查BNP4885ng/l。1月11日19:00患者突发意识丧失、呼之不应,予胸外按压同时转入CCU,心电监护示室颤,予200J电复律,静注肾上腺素、多巴胺升压及纠酸治疗,5分钟后恢复窦律,心率110次/分,血压136/72mmHg,血氧饱和度测不出,行气管插管呼吸机辅助呼吸,急查动脉血气示呼吸性酸中毒,后多次复查血气示PH逐渐降低、乳酸渐升高,予补碱、调节呼吸机参数。之后患者少尿,请ICU会诊,考虑血压低未行CRRT治疗。22:00后血氧进行性下降。1月12日6:00降低至80%,心率降至50次/分,多巴胺不能维持血压。14:46患者心跳停止,抢救无效死亡。
死亡原因:急性左心衰,心室颤动,心脏骤停。该患者有风心病、二尖瓣换瓣病史,拔牙后,来自于口腔的细菌进入血液引起菌血症,由于患者的基础疾病,细菌或其他微生物容易滞留,血培养对该病的确诊有决定性意义。使用抗生素抗感染治疗是本病首要的治疗措施。及早明确病原体,根据药敏结果早期联合使用足量、有效、杀菌的抗生素治疗是提高治疗效果的关键。