下载或打开 医联APP 查看完整评论
立即下载
打开APP
患儿,女,2岁,发现肛周白色皮疹半年余。
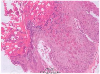
肤科检查:肛周可见20多个米粒至绿豆大小的半球形丘疹,表面呈蜡样光泽,中央可见脐窝,丘疹互不融合,用针挑破后可挤出乳白色胶样物(图1),躯干和四肢其他部位均未发现皮损。组织病理显示:可见典型的疣状小体(图2)。


诊断:传染性软疣 给予局部激光治疗。
2周后皮损全部脱落,未留瘢痕,有不均匀沉斑,无新皮疹发生。随访1个月,未发现新皮疹。 doi:007—8134(2013)01—0052—02