下载或打开 医联APP 查看完整评论
立即下载
打开APP
患者,男,40岁,因“突发头痛10天”入院。患者10天前剧烈运动后突发右侧头痛不适,程度较剧,伴恶心呕吐,后患者不适逐渐缓解,继续外出参加游泳等体育活动,5天前患者头痛不适再发,性质及程度较前相仿。
颅神经查体无明显异常。颈无抵抗,心脏听诊未及病理性杂音,双肺呼吸音清,未及干湿性啰音,腹平软。双上肢活动可,肌力5级,肌张力无亢进,双下肢肌力5级,肌张力正常。四肢感觉正常,双侧病理征阴性,双侧霍夫曼征阴性. 当地医院就诊,查头颅MRI提示“右侧硬膜下血肿”.



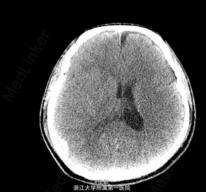
初步诊断:亚急性硬膜下血肿. 入院后行各项检查,(2015-06-24 11:40)血常规(五分类)(全血):白细胞计数9.2×10^9/L、血红蛋白139g/L、血小板计数245×10^9/L、(2015-06-24 10:57)电解质全套(血清):白蛋白45.9g/L、钾3.87mmol/L、钠138.0mmol/L、肌酐79μmol/L、甘油三酯1.89mmol/L↑、C-反应蛋白7.1mg/L、(2015-06-24 14:25)肿瘤标记物全套(男)(血清):癌胚抗原1.2ng/mL、甲胎蛋白1.9ng/mL、癌抗原1996.0U/mL。(2015-06-23 19:42)行CT(头部)检查提示:脑动脉CTA检查未见异常CT征象。右侧额颞顶部硬膜下血肿。进一步行脑血管造影:脑血管造影未见明显异常。给予对症支持治疗。
亚急性硬膜下血肿有增大的可能,如出现头痛加剧,肢体无力,反应迟钝等情况需立即入院诊治。避免饮酒、剧烈运动。