下载或打开 医联APP 查看完整评论
立即下载
打开APP
患者,女性,68岁,因“双侧腰部疼痛1周“入院。患者1周前无明显诱因下出现双侧腰部隐痛,可忍受,每次持续1小时,有尿频、尿急、间接性尿痛,有夜尿,每夜可达4次。 既往史:2010年及2012年于我院泌尿外科二区行经皮肾镜碎石术
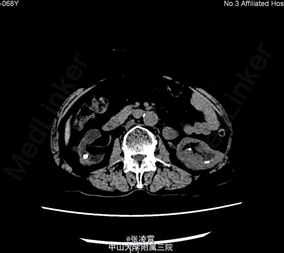
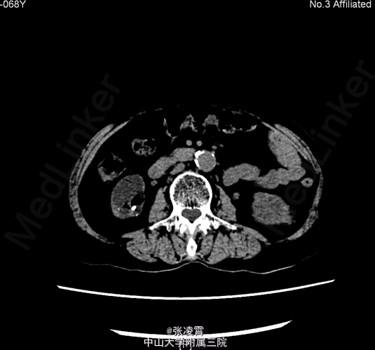
当地医院B超提示:肾功能受损改变,右肾多发结石。 CTU:1、双肾多发结石,双肾轻~中度积液、炎症;双肾萎缩,双肾功能减低2、双肾多发囊肿3、腹主动脉、双侧髂动脉硬化 核素肾动静态显像:1、右肾灌注、功能中度受损,右上尿路不完全性梗阻可能性大。2、左肾灌注、功能中度受损。 肌酐:281.000umol/L 尿素氮:14.220mmol/L 尿常规:白细胞计数 28.1个/ul



诊断:1.双肾结石 ;2.泌尿道感染;3.肾功能不全 经完善相关术前检查,予行双侧输尿管软镜下碎石术。手术耗时约3小时,手术顺利,出血约5ml。
此患者双侧肾功能都不是很好,入院前有双侧腰腹部疼痛的情况,并且有尿路感染,考虑还是结石导致的感染。患者进行ECT检测发现左侧GFR为23.93,右侧为14.69。一般来说GFR小于10可以考虑直接行肾切手术。该患者还没有做肾切的指征,并且双侧肾结石都不大,行经皮肾镜对肾脏损害较大,综合考虑做输尿管软镜应为最佳手术方式。
