患者女,38岁,全身反复红斑、斑片8年,丘疹、结节半年。 8年前患者无明显诱因右侧大腿出现一直径1.5cm红斑,无自觉症状,后泛发全身,无破溃结痂,可自行消退,留有色素沉着。半年前左面颊出现直径1cm红色结节,四肢红色丘疹反复发作,无破溃结痂,4周左右消退,全身伴有直径<1cm的红斑,
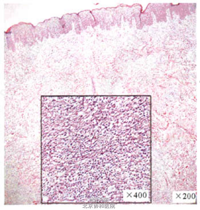
系统检查未见异常。 皮肤科情况:全身多处色素沉着及红色小丘疹,直径约0.5cm,左腰部一直径1cm大小红色斑块,上覆鳞屑。 实验室检查:血尿便常规未见异常,血β2微球蛋白2487mg/ml,淋巴细胞表型:CD3+:78%,CD3+CD8+:72.6%,无CD8缺失。 左腰部皮损活检:异型细胞散在真皮内、血管神经旁,细胞体积中等偏大,部分核偏位、呈圆形、马蹄形、深染,核分裂象可见,未见明显嗜表皮现象;免疫组化:异型细胞LCA、CD3、CD4、TIA-1UCHL-1均(+),CD8(+/-),CD30 (+/-),MIB-120%(+)。 TCRγδ重排(-),TCRB(-),TCRG(-),TCRD基因为克隆性重排
CD30阳性T细胞淋巴细胞增生性疾病(淋巴瘤样丘疹病) 予NB-UVB照射。干扰素α-2b皮下注射及阿维A口服。


治疗1月无新发皮损 淋巴瘤样丘疹病为慢性反复发作的自限性皮肤丘疹结节,临床上呈良性经过但组织学呈恶性表现的疾病。多以成群出现的丘疹结节或红斑为首发症状,数年后可出现破溃,结痂,临床上淋巴瘤样丘疹病有时和皮肤CD30+间变性大细胞淋巴瘤和蕈样肉芽肿鉴别困难,对于鉴别困难的患者应长期随访, 沈小雁, 李可嘉, 施若非, 郑捷, SHEN Xiao-yan, LI Ke-jia, SHI Ruo-fei, ZHENG Jie - 《中国皮肤性病学杂志》 2010年6期