下载或打开 医联APP 查看完整评论
立即下载
打开APP
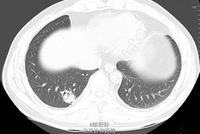
咳嗽、痰中带血丝半年



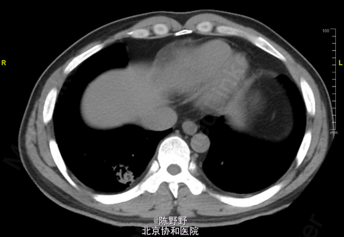
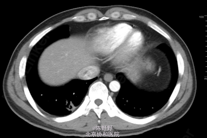
无特殊 CT提示右下肺空洞内见团状物
术前诊断考虑曲霉菌球,恶性病变不能除外 行VATS右肺下叶切除,术中切开见囊性病变内灰黑色团状病变,考虑曲霉菌球,最终病理明确诊断
术后患者恢复良好。 曲霉菌球一般继发于有囊性病变的基础上,一旦形成曲霉菌球,抗真菌药物治疗无效,需要手术治疗。术前需要CT评估,如果伴随侵袭性曲霉菌病,则需要术前应用抗真菌药物治疗控制后再行手术。若仅为曲霉菌球,需要直接手术,因为药物无效,长期还有可能导致咯血,另外,较为极端的例子是空洞型肺癌也可以合并曲霉菌球,因此一旦怀疑曲霉菌球,只要无炎症迹象,应该选择手术治疗而不是内科药物治疗