下载或打开 医联APP 查看完整评论
立即下载
打开APP
颈痛1年,加重伴左上肢放射性疼痛、麻木、无力1个月 患者1年前无明显诱因出现颈部疼痛不适,不伴四肢放射性疼痛、麻木、无力,劳累后加重,平卧休息可缓解。1个月前无明显诱因出现颈部疼痛加重,伴左上肢放射性疼痛、麻木,颈部及上肢活动受限,无高热、寒战,无低热、盗汗,无纳差、消瘦。
查体:颈后部压痛,颈部活动受限,左侧前臂及手感觉减退,右侧正常,双侧屈肘肌肌力5级,左侧伸腕、伸肘肌肌力4级,右侧伸腕、伸肘肌肌肌力4-5级,双侧霍夫曼综合征阴性,辅助检查: X-ray:劲椎退行性变 CT:颈椎间盘突出,腰5/6 MR:颈椎间盘突出,颈5/6节段明显









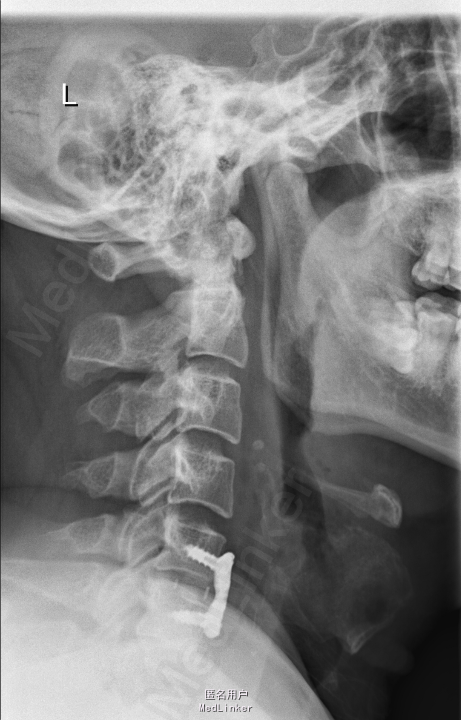
诊断:神经根型颈椎病 处理: 1、完善相关辅助检查,明确诊断,有无手术指证; 2、完善手术评估,有无手术禁忌,手术风险及并发症; 3、在全麻下行颈椎前路减压,颈5/6椎间Cage植骨融合内固定术
随访 1、应常规术后1个月、3个月、半年随访; 2、术后患者颈部疼痛较前减轻,左上肢麻木感觉较前好转,左侧伸肘、伸腕肌肌力4+级。 3、术后1个月,患者上肢麻木明显好转,左侧伸腕、伸肘肌肌力4-5级。 讨论:1、颈椎病手术指证的把握,牵引药物保守治疗与手术减压的选择? 2、颈椎手术前路与后路的手术选择?是否考虑以下问题:1、神经根型与脊髓型;2、是否合并椎管狭窄;3、是单双节段还是多节段间盘突出;4、颈椎曲度与K线关系;5、年龄>70岁,颈椎前路气道管理问题。

