患者,女,31岁,因“活动后心悸、 气促1年余”入院。患者缘于1年前始无明显诱因出现活动后心悸、气促不适,休息后可缓解,无胸痛、胸闷,无水肿、贫血等。起初患者未予重视,后症状持续不缓解,遂就诊我院。余病史无特殊。
查体——体温36.8℃,脉搏80次/分,呼吸20次/分,血压130/80mmHg。口唇轻度发绀。 双肺呼吸音清,心界稍有扩大,肺动脉瓣区可闻及轻~中度舒张期杂音。 下腹可触及囊实性肿物。 辅查——彩超示:右心房多发黏液瘤、三尖瓣中度关闭不全,肺动脉瓣轻度关闭不全,窦性心律,心脏扩大。 胸片示:两肺膨胀性好,肺无实变,两肺下部有少许胸膜反应。 心胸比率0.57。
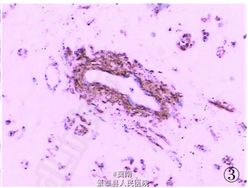
初步诊断——右心房多发粘液瘤。 处理——全麻体外循环下行右心房多发黏液瘤清除术。 术中探查右心房内有一来自下腔静脉的条索样肿物;右心房内未见附着点,考虑来源于腹部。 术中发现右心房内肿物为下腔静脉延伸而来,切除心腔内肿物同时切下一段下腔静脉内肿物,切除时未发现肿物末端,考虑肿物延伸路径较长,切除1 段送病理检查。同时可见盆腔肿块和腹部肿块,考虑原发病灶为盆腔妇科肿瘤可能性大。眼观:送检条索状肿瘤(图 1),重42.2克,长约18.7cm,直径1.2-2.5cm,表面光滑,有包膜,切面灰白,呈编织状。镜检:肿物表面被覆一层内皮细胞,瘤细胞梭形、切面圆形及多角形,呈束状排列,疏密不均,胞质嗜酸性,核大小一致,核分裂象罕见(图2),间质部分透明变性,瘤细胞内部分血管的平滑肌细胞增生。 免疫表型:瘤细胞中actin(+),内皮细胞中(- )(图3);瘤细胞中CD31(-),内皮细胞中(+)(图4)。 血管壁网状纤维染色(+)(图5)。病理诊断:静脉内平滑肌瘤病(IVL),肿瘤延伸至右心房。 确定诊断——静脉内平滑肌瘤病,心脏内平滑肌瘤病。





术后患者恢复良好。静脉内平滑肌瘤病(IVL)是一种子宫平滑肌瘤向静脉血管内生长,或由静脉血管壁本身的平滑肌组织增生突向管腔内的肿瘤,少见且类型特殊,属良性病变,具有侵犯静脉等不良生物学行为,常可超出子宫范围,沿静脉回流方向通过子宫静脉、卵巢静脉、髂静脉延伸至下腔静脉,甚至累及右心或肺动脉,为心脏内平滑肌瘤病(ICL)。ICL还应与心脏黏液瘤、血栓及肾脏恶性肿瘤转移瘤等鉴别。手术切除是IVL唯一有效的治疗方法,完整切除瘤体后患者的中位生存期可达12年。【摘自:《临床与实验病理学杂志》1001-7399(2013)07-0811-02,《静脉内平滑肌瘤病累及心脏 3例》。】