下载或打开 医联APP 查看完整评论
立即下载
打开APP
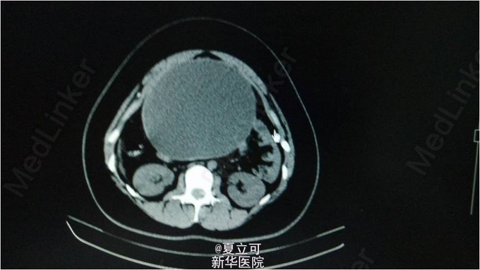
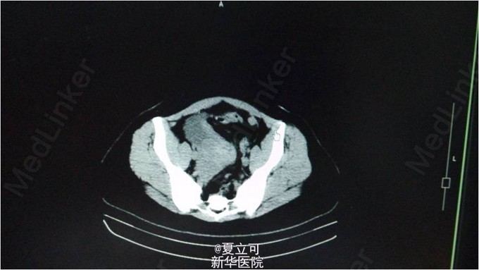
患者,女,21岁。患者1月无明显诱因下出现阵发性左下腹痛,疼痛为刺痛,伴有纳差、恶心感,无呕吐,无发热、腹泻、反酸等。 查体:腹平软,脐周偏左压痛,无反跳痛及肌卫,肝脾肋下未及,移动性浊音阴性,肠鸣音正常。 辅助检查:血常规:CRP 38mg/L,白细胞计数 10.21 10^9/L,肝肾功能、电解质、心肌酶谱、肿瘤指标均未见明显异常。 诊断:左卵巢浆液性囊腺瘤伴出血坏死 治疗过程及结果:入院后1天,患突发全腹疼痛,伴有大汗、心悸不适,当时心率103次/分,血压138/85mmHg。查体:腹紧张,压痛,腹部可及巨大包块,质软。急查腹部CT平扫:腹盆腔巨大囊性占位。阴超:巨大盆腹腔囊性包块,宫底部前方实性包块,腹水。腹部MRI:左下腹及盆腔可见巨大囊性病灶,大小约19*13*23cm。考虑左侧卵巢来源囊腺瘤。后于全麻下行腹腔镜探查+腹腔镜左附件切除+粘连松解术,术中冰冻:左卵巢浆液性囊腺瘤伴出血坏死。术后抗炎补液等对症支持治疗后,症状好转出院。 随访一个月未在出现腹痛症状。 经验:该患者为年轻女性,以反复左下腹痛入院,除消化道疾病外还需考虑妇科疾病,如宫外孕、卵巢囊肿等。该患者虽外院检查提示妇科超声未见明显异常,但最终证实为卵巢囊肿蒂扭转,故提示在临床工作中,不能过分依赖辅助检查,仍应以对病人临床症状观察为主导,结合相关辅助检查协助诊治,必要时复查相关检查十分重要。该病例诊治过程中处置及时,故预后好。


