下载或打开 医联APP 查看完整评论
立即下载
打开APP
患者 XXX 女性,74岁。 主诉:摔伤致左髋疼痛伴活动受限1小时。 现病史:患者于入院前2小时因不慎摔倒后感到左髋部剧烈疼痛,并伴活动受限,无法站立及行走。无头痛、头晕,无恶心、呕吐,无胸痛、胸闷,无腹痛,无大小便失禁。
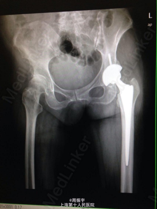
查体:患者发病以来精神可,胃纳差,睡眠差,大小便正常,体重无明显减轻。 左下肢短缩外旋畸形,左髋未见红肿及皮肤破损。左髋压痛(+),左下肢纵向叩击痛(+),足背动脉搏动好。左髋活动明显受限,左膝活动无受限、左踝及足趾活动无异常,左足背动脉搏动好。左下肢较右下肢稍缩短约1cm。余肢体均正常。 辅查:X线:左股骨颈骨折。 骨盆正位数字化摄影 , 检查诊断:左侧人工髋关节置换术后。右髋关节退变,右股骨头坏死可能,请结合临床。
诊断:左股骨颈囊内骨折(Garden IV型) 治疗经过:患者入院后完善各项检查,明确诊断,积极术前准备,全麻下行左侧全髋关节置换术,术顺。


随访:术后患者恢复,一般情况可,予以出院,出院后各项生命体征平稳。 总结:老年人因骨强度下降,多由于骨质疏松;双量子密度仪证实股骨颈部张力骨小梁变细,数量减少甚至消失,最后压力骨小梁数目也减少,加之股骨颈上区滋养血管孔密布,均可使股骨颈生物力学结构削弱,使股骨颈脆弱。 另外,因老年人髋周肌群退变,反应迟钝,不能有效地抵消髋部有害应力,加之髋部受到应力较大,局部应力复杂多变,因此不需要多大的暴力,如平地滑倒,由床上跌下,或下肢突然扭转,甚至在无明显外伤的情况下都可以发生骨折。日常生活应多注意。