腰腿疼痛1年,加重伴左下肢疼痛、麻木1个月 中年男性,既往健康; 患者1年前无明显外伤出现腰痛,伴右下肢放射性疼痛,腰腿活动受限,劳累后加重,平卧休息可缓解。1个月前无明显诱因出现腰痛加重,伴左侧下肢放射性疼痛、麻木,腰腿活动受限,无高热、寒战,无低热、盗汗,无纳差、消瘦。
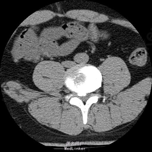
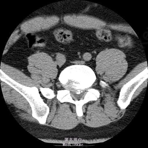
查体:腰部叩痛,腰部活动受限,左侧膝内侧、小腿外侧、内踝、足部感觉减退,右侧小腿、足背感觉减退,屈髋、伸膝、踝背伸肌肌力左侧4级,右侧4-5级,踇背伸、跖屈肌肌力左侧3-4级,右侧4级,双侧膝腱反射+,跟腱反射+,双侧巴氏征阴性,直腿抬高试验左侧40°阳性,右侧阴性。 辅助检查: X-ray:腰椎退行性变,多节段不稳 CT:腰椎间盘突出并椎管狭窄伴钙化,腰2-3,3-4,4-5,腰5骶1 MR:腰椎间盘突出并椎管狭窄,腰2-3,3-4,4-5,腰5骶1 上传受限无法全部上传,见谅









诊断:腰椎间盘突出症并椎管狭窄 处理: 1、完善相关辅助检查,明确诊断,有无手术指证; 2、完善手术评估,有无手术禁忌,手术风险及并发症; 3、在全麻下行腰椎后路多节段减压椎间植骨融合内固定术 4、腰2-3,腰3-4行开窗减压,腰4-5,腰5-骶1行椎间Cage植骨融合
随访: 1、应常规术后1个月、3个月、半年随访; 2、术后患者腰痛较前减轻,下肢麻木感觉较前好转,下肢活动较前有力,屈髋、伸膝、踝背伸肌肌力左侧4级,右侧4-5级,踇背伸、跖屈肌力左侧4级+,右侧4-5级,左侧肢体抬高试验阴性。 讨论: 1、多节段腰椎间盘突出,手术指证把握 2、责任节段的确立,以影像学间盘突出节段为依据,以影像学与临床表现确立责任节段间盘为依据,还是术中探查为金标准? 3、多节段间盘突出,开窗髓核VS椎间植骨融合? 4、开窗髓核与椎间植骨融合相结合,如何确定融合节段与开窗节段? 5、多节段内固定,腰椎活动度影响,稳定与腰椎活动功能的平衡?

