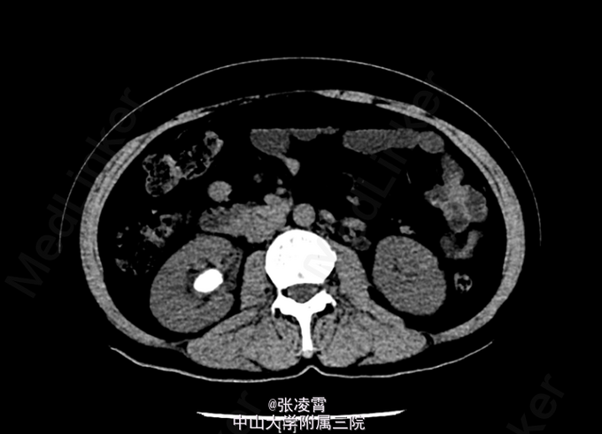
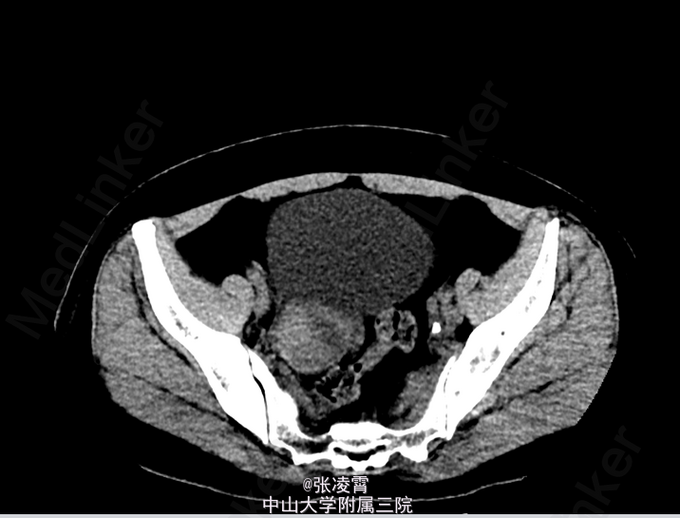
患者,女性,42岁,因“左侧腰痛9天”入院。患者于9天前无明显诱因出现左侧腰部胀痛,疼痛向左下腹、左侧会阴部放射,伴发热,无尿频,尿急,排尿困难,无咳嗽,咳痰,无恶心,呕吐。我院门诊泌尿系B超:右肾结石并积液;左肾积液;左肾形态失常、集合系统分离,内见液性暗区最大直径:29mm;左输尿管上段扩张;右侧输尿管上段未见明显扩张。 既往史:有“肾结石”病史。
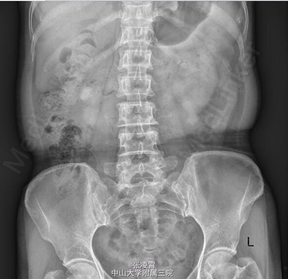
查体:双侧肾区叩击痛(+)。 血常规:白细胞 12.03 ×109 /L;中性粒百分比0.758 尿常规:白细胞 1647.3个/L;红细胞 1135.4个/L 大便常规,凝血四项,生化全套,术前八项等未见明异异常。 KUB示:右肾结石,左侧输尿管下段结石。 CT提示:右肾结石并右肾积水,左侧输尿管下段结石并输尿管扩张。 胸片,心电图大致正常。



诊断:1、左输尿管结石并左肾盂积水;2、右肾结石并积液。 入院第二天最高体温 39℃,目前予以舒普深 3.0 Bid 抗感染治疗三日后,体温正常,复查尿常规白细胞42个/L。予完善相关术前准备后行左侧输尿管镜下钬激光碎石取石术+右侧PCNL术。手术过程顺利。术中出血约30ml,耗时3h。
行输尿管镜和经皮肾镜手术术前控制尿路感染非常关键,不然因为术中冲水,很容易引发感染,通常要求尿常规白细胞计数控制在100以内较为安全。双侧肾及输尿管结石的处理原则:1.双侧肾结石时,应在尽可能保留肾的前提下,先处理容易取出且安全的一侧。若肾功能极差,梗阻严重,全身情况不良,宜先行经皮肾造瘘,待病人情况改善后再处理结石。2.双侧输尿管结石时,一般先处理梗阻严重侧。条件允许时,可同时行双侧输尿管取石。3.一侧肾结石,另一侧输尿管结石时,先处理输尿管结石。4.孤立肾上尿路结石或双侧上尿路结石引起急性完全性梗阻无尿时,一旦诊断明确,应及时施行手术。此例患者就是先处理了左侧输尿管结石后再处理的右肾结石。