打开应用

髓内钉

郝医师   中国人民解放军空军军医大学第二附属医院

主诉 病史

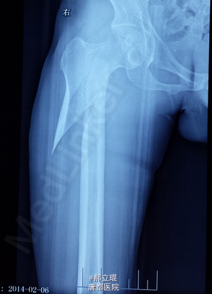
患者由于车祸,导致活动受限入院。

查体 辅查

拍片,化验,X光片提示骨折。

诊断 处理

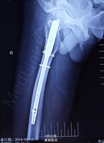
做髓内钉手术处理。

随访 讨论

建议近期内不可负重,多吃高钙食品,多晒太阳,多锻炼。近三个月时患者肢体康复。

发布于 15-06-24 15:46

1 个评论

发送