下载或打开 医联APP 查看完整评论
立即下载
打开APP
男,80岁 主诉:血尿2月余,检查发现膀胱肿瘤5天 现病史:患者自诉2月前出现一次肉眼血尿,未予特殊处理后好转,半月前患者再次出现无痛血尿,伴尿频,5天前血尿加重,与当地医院检查,发现“膀胱肿瘤”,未予特殊治疗,。今为求进一步治疗,来我科就诊。起病以来,患者精神、饮食、睡眠可,体力体重无改变。
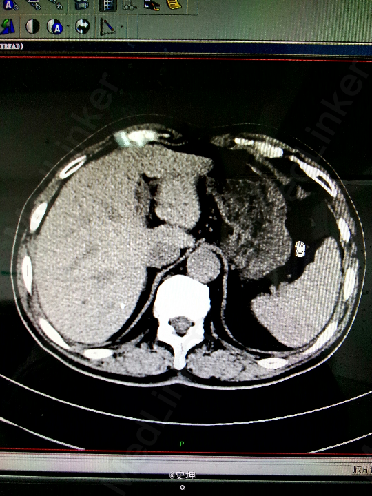
查体:T:38.0℃,P:84次/分,R:20次/分,BP:150/80mmHg,余查体无异常。 X线:可见膀胱充盈缺损,膀胱壁僵硬不规则。 CT:1、膀胱右后壁贱菜花样软组织团块影。2、所及肝脏多发小囊肿,肝内散在小钙化灶或胆管结石。


诊断:1、膀胱肿瘤 2、高血压2级 3、发热? 处理:1、完善血常规,尿常规,大生化等检查,积极控制体温,控制高血压,使血压和体温维持在正常水平。2、根据患者情况,肿瘤的部位、浸润深度、数目、恶性程度选择不同的治疗方案。首先考虑手术治疗,分为经尿道手术、膀胱切开肿瘤切除、膀胱部分切除术及膀胱全切除术等。放射和化学治疗是辅助治疗。
加强劳动保护,减少外源性致癌物质的接触,平时多饮水,及时排尿,可能起到一定的预防作用,对已行手术治疗的病人,膀胱内药物灌注,定期随访膀胱镜检查对预防复发十分重要。