下载或打开 医联APP 查看完整评论
立即下载
打开APP
打开应用
颊面洞充填一例
聂医师
高阳口腔疾病防治所
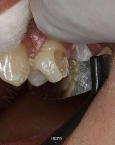
主诉 病史
患者,男,24岁,左上第一前磨牙颊面洞1月余来诊。平素体质一般,无药物、食物过敏史,无高血压、心脏病等系统病史。
诊断 处理
颊面洞树脂充填
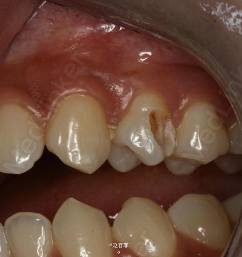
随访 讨论
恢复很好,患者满意。
发布于 15-06-23 14:02
医联推荐你看
二类洞树脂充填
邻牙合面洞充填
美容充填
共
0
个评论
暂无评论
发送
0