打开应用

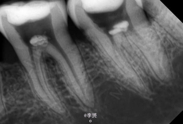
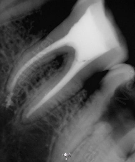
根管治疗断针

聂医师   高阳口腔疾病防治所

主诉 病史

患者,女,30岁,右下第一磨牙疼痛来诊。平素体质一般,无药物、食物过敏史,无高血压、心脏病等系统病史。近期出现冷热刺激痛,根尖脓肿。

查体 辅查

诊断 处理

在显微镜下进行断针取出

随访 讨论

效果很好,疼痛去除,患者满意。

发布于 15-06-23 12:23

0 个评论

暂无评论
发送