下载或打开 医联APP 查看完整评论
立即下载
打开APP
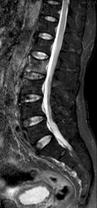
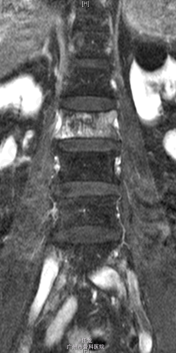
主诉:前列腺癌术后8年,反复腰痛半年,加重2周。 病史:患者8年前曾诊断为前列腺癌,并在外院行手术治疗,并多次放疗,一般坚持门诊复查。半年前出现腰部疼痛,为持续性疼痛,休息后无缓解,无双下肢麻木疼痛。最近两周加重明显,影响睡眠。遂至门诊就诊,门诊MRI考虑:前列腺癌腰椎转,故收入院作进一步诊治,患者一般情况较差。



查体:L2-L4棘突及棘旁轻度叩压痛。四肢感觉、肌力及肌张力正常。双侧坐骨神经出口处无轻压痛。双侧直腿抬高试验(-),双侧股神经牵拉试验(-)。双侧膝反射及踝反射未引出,双侧踝阵挛阴性。双侧Babinski 征及Oppenheim 征(-)。 辅助检查:PSA:73.22ng/ml ↑。腰椎影像学检查如下。



诊断:1. 前列腺癌腰椎转移 2.前列腺癌切除术后 处理:入院后完善相关检查,术前给予对症治疗,科里术前讨论决定:拟行手术:L2-4经皮穿刺活检+术中放疗+椎体成形术。
讨论:对于脊柱转移癌的患者的治疗,各位同道有什么好建议呢,谢谢。