下载或打开 医联APP 查看完整评论
立即下载
打开APP
患者,女,51岁,因“右上肢无力萎缩10+年,双上肢麻木5年”入院。患者10+年前感右上肢力弱,逐渐加重,并发现右手肌肉渐萎缩。后双上肢麻木。
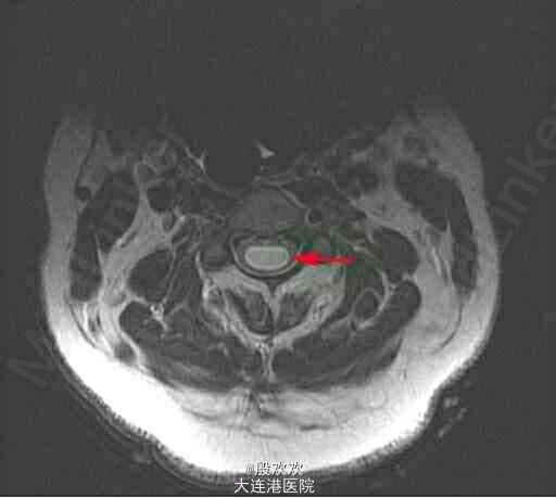
查体:生命体征平稳,双上肢皮肤粗糙。专科查体:神清,语利,双侧颈5-胸4水平痛温觉减退。双下肢肌张力稍高,右手骨间肌肉萎缩。双侧腹壁反射消失,双肱二头肌肌腱、肱三头肌肌腱、桡骨膜反射减低,双侧膝反射、踝反射明显增高。 辅助检查:头+颈椎+胸椎MRI:charis畸形并脊髓空洞症。




诊断:脊髓空洞症并小脑扁桃体下疝畸形:charis I型畸形。治疗:给于给于维生素B、ATP、肌苷等营养神经及康复治疗。
脊髓空洞症的病因不明,但是普遍认为,枕大孔区狭窄性病变阻断了脑脊液从脊柱向头部的正常循环,正是因为如此,可以对于charis I型畸形可以行后颅窝减压术,重建脑脊液通路,恢复脑脊液的正常循环状态,虽然少数患者恢复不满意,但大量研究已经证明,其远期疗效肯定。但是临床上,一般先进行内科治疗,如果无效,再和家属沟通性外科手术疗法。