下载或打开 医联APP 查看完整评论
立即下载
打开APP
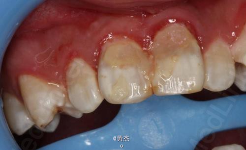
男,刘××,16岁。主诉:11、21牙齿疼痛一周。病史:一周前患者自觉前牙疼痛难忍,未做任何处理。遂来我院牙体牙髓科治疗。牙体牙髓科检查:11、12松动Ⅱº,21松动Ⅰ°。11、21叩诊+++。


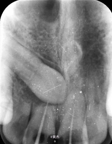
在11、21根管内放置牙胶尖后做x光检查:11、21牙根吸收至根中2/3.。 21未吸收,但测不到长度。正畸科通过CBCT检查,建议拔除13.。姑息保留11、12及手术探查21的根尖情况。
诊断:11、21根尖周炎。处理:11、21开髓无活力,大量血性渗出,根管无法测量。于是转诊口腔外科。术前和患者签知情同意书。给患者讲明外科手术有可能失败,最终拔除11、12、21的可能性。口腔外科处理:拔除13.。发现 11牙根几乎完全吸收、21唇侧牙根也被13牙冠压迫吸收到根中1/3。于是术中行11、21MTA根尖区封闭。12暂不做处理,观察半年后考虑进一步治疗方案。







效果很好,恢复良好。
