下载或打开 医联APP 查看完整评论
立即下载
打开APP
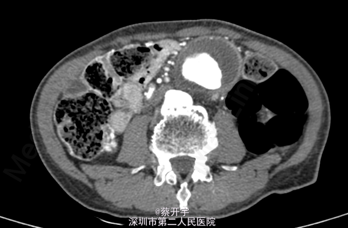
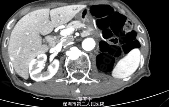
患者,男性,75岁。因“腰背痛20天”入院。 外院腹主动脉CTA示:腹主动脉中下段假性动脉瘤(最宽处57mm),累及右髂总动脉,附壁血栓形成。
查体,心肺查体未见异常。左下腹可触及一搏动性包块,与心率一致,呼吸无相关。 入院完善主动脉全程CTA检查,具体见下图。


诊断:腹主动脉瘤(肾下型) 处理:排除手术禁忌症后行腹主动脉腔内隔绝术。

随访:术后患者生命体征平稳。予立普妥降脂、控制血压心率对症后出院。术后3月,电话随访患者无再发腰背痛,一般情况稳定。 讨论:男性腹主动脉瘤患者,瘤体横径大于50mm,具有手术指征,介入治疗创伤小恢复快,具有广泛前景。