打开应用

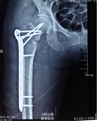
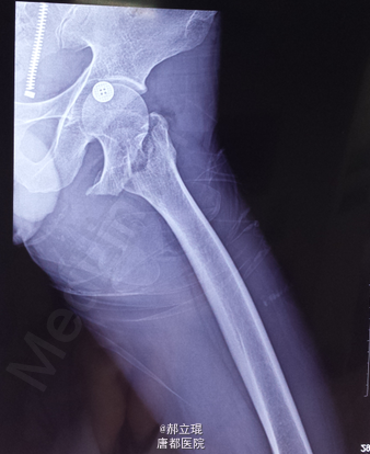
股骨颈基底部

郝医师   中国人民解放军空军军医大学第二附属医院

主诉 病史

66岁老人因在菜市场不小心滑到,导致髋部疼痛,活动受限。马上送来医院。

查体 辅查

拍X光片,显示股骨颈基底部骨折。

诊断 处理

各项指标都正常后,施行股骨颈基底部手术。

随访 讨论

术后十天出院,不再疼痛。建议多吃高钙产品。四个月后老人基本能够活动,每天能坚持锻炼。

发布于 15-06-22 09:24

7 个评论

发送