下载或打开 医联APP 查看完整评论
立即下载
打开APP
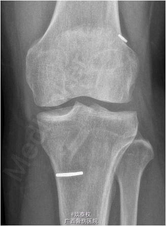
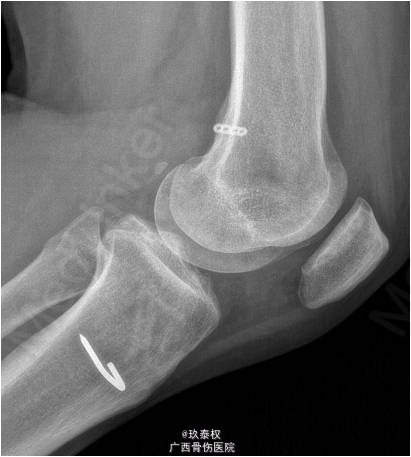
患者女,31岁,因“左膝关节前交叉韧带重建术后半年余,依约返院”入院。患者半年前在我院行“左膝关节镜检,前交叉韧带重建(后外侧束),内侧半月板修补(9针),内侧皱襞切除,门形钉固定术”。现患者依约返院行门型钉拆除术。
查体:双下肢无畸形,左膝关节无静脉曲张、肿胀等,皮温正常,关节间隙压痛,麦氏征(-),蹲走试验(-),过伸试验(-),过屈试验(-),浮髌征(-),髌骨加压研磨试验(-),前抽屉试验(-),后抽屉试验(-),侧方应力试验(-),lachman征(-),关节活动度0-135度,股四头肌无明显萎缩,肌力正常;肢端血运、感觉、活动正常。右下肢及双上肢其余关节未见明显异常。 辅助检查:X线平片及MRI检查未见明显异常。



诊断:1.左膝关节前交叉韧带重建术后;2.左膝关节半月板修补术后。行左膝关节镜检及门型钉拆除术。术后开始行股四头肌肌力训练及踝泵训练,术后第2天开始主动关节屈伸训练,屈膝达90°,术后第3天可完全负重。
现患者随访1个月,左膝关节前抽屉试验(-),lachman征(-),已全面恢复日常活动。 前交叉韧带重建后的交叉韧带胫骨和股骨端固定,目前股骨端常采用Endobutton、生物横杆或生物挤压钉进行固定,而胫骨端常采用生物挤压钉和门型钉进行固定。术后半年后患者腱骨愈合良好的情况下可行门型钉拆除术。