打开应用

牙根纵折

班医师   久悦齿科

主诉 病史

右下后牙咬物痛一月

查体 辅查

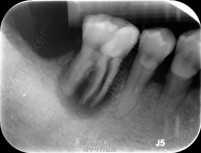
右下六咬合面牙色充填物,近中及颊侧深牙周袋,叩(+),松二度,X-Ray示:47近中根纵折,未见明显高密度充填物

诊断 处理

46牙根纵折,建议拔除患牙

随访 讨论

此例患者既往史不详,但是牙髓病变已经延伸至根尖,出现比较明显的根尖炎症和牙周病变

发布于 15-06-21 22:51

0 个评论

暂无评论
发送