下载或打开 医联APP 查看完整评论
立即下载
打开APP
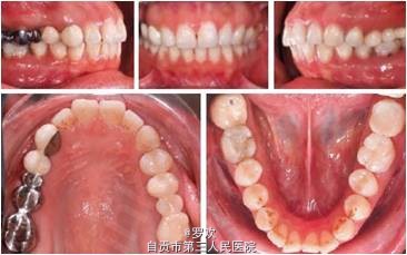
主诉:牙龈暴露过多 女,29岁,闭唇时颏肌紧张


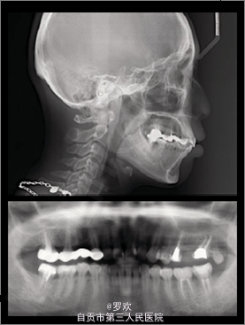
闭唇时颏肌紧张,露龈笑,凸面型 A4A6B6 缺失,A3-A7,B5-7 局部固定桥修复 II类关系(右侧) ,下中线右偏2mm 侧位片:高角,凸面型,唇前突, SNA82°,SNB78°,ANB4°, 全景:多个牙缺失

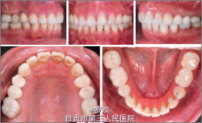
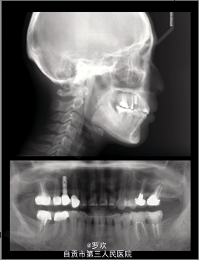
诊断:牙列缺损,凸面型,露龈笑 处理:上颌:内收上颌前牙,关闭磨牙缺失间隙,垂直向压低整个上颌牙列 下颌:内收下颌切牙,从而内收前突的唇。 拔除双侧下颌4,去除上颌局部固定桥,制作基牙的临时冠,,在上颌右侧3和5之间保留7.5mm的间隙供种植修复4,关闭所有间隙,种植钉内收和压低上颌前牙段,种植钉打在 颧牙槽嵴上,从种植钉上伸出悬臂簧用于压入上前牙以改善露龈笑,矫正结束后,在上下颌前牙段粘接舌侧丝固定保持








治疗后露龈笑明显改善,患者对面型满意,上下前牙舌侧丝固定保持。 种植钉的出现为很多疑难病例提供了简单的处理方法,为正畸医生提供了另一片天地,可以多尝试种植钉的使用



