患儿,男,出生后14小时。因“呼吸急促、口吐白沫9小时”入院。患儿于生后4小时开始出现呼吸急促并逐渐加重,伴呻吟、口吐白沫。无发热、发绀。患儿系妊娠足月儿,产程未发动时在硬膜下麻醉下行剖宫产娩出。出生体重3600g,羊水、胎盘正常。无脐带绕颈。新生儿Apgar评分1分钟8分,5分钟10分。病程中无抽搐及呼吸暂停,无脑性尖叫,未开奶,已排尿1次,未排胎便。母孕期正常,母亲有荨麻疹病史,父亲既往体健,否认遗传病家族史。
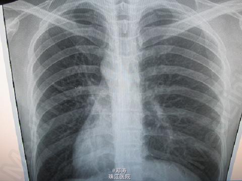
T37.5℃,P150次/分,R65次/分,BP80/50mmHg,一般状况尚可,妊娠足月儿外貌,发育良好,哭声响亮,呼吸急促,伴口吐白沫,无鼻翼煽动及三凹征,口唇无发绀,皮肤红润,前囟平坦2.0cm×2.0cm,无波动感,球结膜无水肿,双瞳孔等大等圆,对光反应正常。双肺闻及少许中小水泡音,P150次/分,节律齐,心音有力,各瓣膜未闻及杂音。腹平软,肝脾未触及,肠鸣音3次/分,四肢肌张力正常,觅食反射、吸允反射、拥抱反射存在。 白细胞计数14.6×109/L,中性粒细胞0.64,红细胞计数4.02×1012/L,血红蛋白153g/L,血小板计数218×109/L。胸部X线片示双肺纹理增强。

诊断 1新生儿呼吸窘迫综合症;2 呼吸衰竭(Ⅱ型) 鼻导管低流量吸氧,5%葡萄糖注射液10ml,氨苄西林钠0.09g静脉滴注,每日2次;10%葡萄糖注射液70ml,50%葡萄糖注射液15ml,6%小儿氨基酸50ml,20%脂肪乳15ml 24h匀速静脉滴注。
患儿入院第8天,停用机械通气,第9天停用经鼻呼气末正压辅助通气。第10天患儿呼吸状况好转,无呻吟及口吐白沫,进乳良好,心脏杂音消失,体重无明显减轻,胸部X线片较前明显好转。出院后每个月随访1次,监测肺功能及神经系统及生长发育情况。