打开应用

膀胱移行细胞癌

赖医师   西南医科大学附属医院
膀胱移行细胞癌

主诉 病史

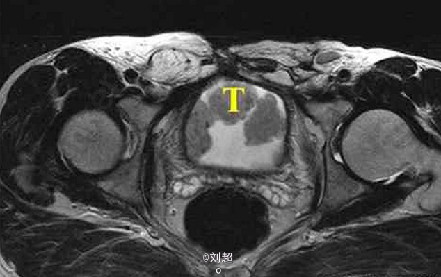
男,74岁,因间断肉眼血尿4月余就诊

查体 辅查

患者尿频、尿急、尿痛,有肉眼可见血尿 辅查MRI,平扫见膀胱侧壁和前上壁呈菜花样突入腔内,T1WI呈低信号,T2WI呈稍高信号,增强后肿块明显强化

诊断 处理

膀胱移行细胞癌 处理:手术配合放疗、化疗

随访 讨论

随访中

发布于 15-06-21 09:53

0 个评论

暂无评论
发送