下载或打开 医联APP 查看完整评论
立即下载
打开APP
主诉:摔倒致胸腹部疼痛5小时 现病史:患者于5小时前摔倒,右季肋区撞击硬物,感剧烈疼痛,出现肉眼血尿,无排尿困难,无恶心、呕吐、头晕、气促等不适。来我院就诊,超声提示肾上极不均匀回声区,未除外肾挫裂伤,以“肾挫伤”收入院。
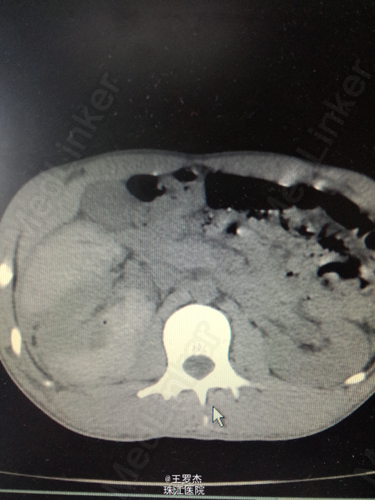
体格检查:体温:37℃,呼吸23次/分,脉率:84次/分,血压132/88mmHg。神情,查体配合。右季肋区可见3x4cm皮肤挫伤,腹部平软,双肾区无隆起,双侧输尿管走向无压痛,未触及包块,耻骨上区无充盈。 实验室检查:RBC 4.1,Hb 110g/L,WBC12.97,Cr187.0umol/L 辅助检查:CT右肾挫裂伤,包膜下大量积血,肾周、腹腔及盆腔内较多积液伴积血。
诊断治疗:右肾挫裂伤,保守治疗。3天后复查Hb89g/L,RBC2.65;复查CT提示包膜下及盆腔积血较前增多。请介入科会诊,行右肾动脉选择性栓塞。 介入:右肾挫裂伤,并上极动脉破裂出血及远端多处动静脉瘘形成,成功行超选择性病变血管栓塞术。
目前患者病情稳定。 讨论:外伤导致肾挫伤破裂出血亦常见,严格掌握适应症,密切监控病情,进行及时有效的治疗,大家对于肾损伤有什么体会?







