下载或打开 医联APP 查看完整评论
立即下载
打开APP
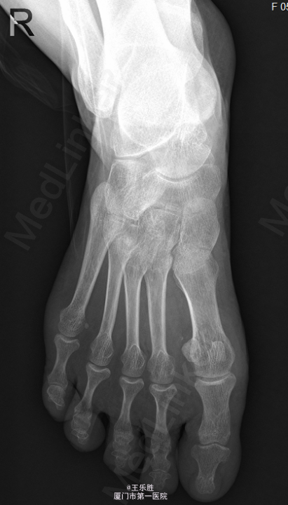
患者,女,58岁,因“右足跖趾关节酸痛半年”入院。
右足第一跖趾关节前侧可见红肿,关节处无明显压痛,关节活动尚可,足背动脉可及,足趾伸屈正常。远端血循良好,感觉正常。我院 MRI示右足第1跖趾关节积液,滑膜炎考虑。


初步诊断:右足第一跖趾关节滑膜炎.行“右第1跖趾关节滑膜切除+关节清理+骨赘切除术 ”.

手术过程顺利。术后予以预防感染、消肿、止痛、护胃等对症支持治疗。患肢支具固定,禁止负重.
