打开应用

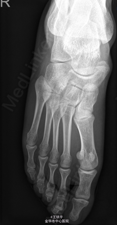
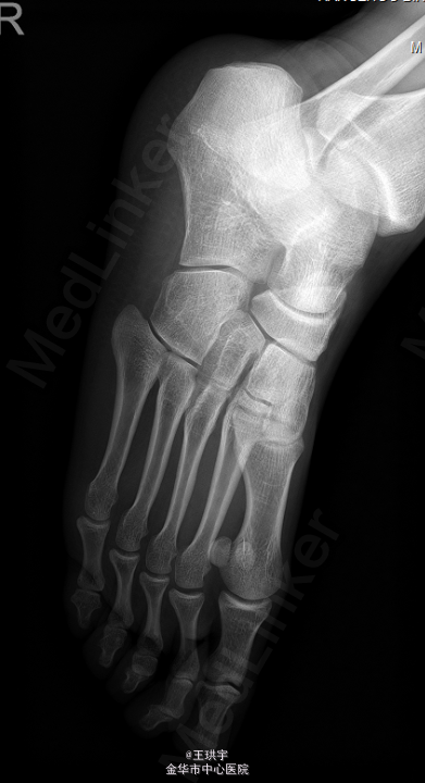
右足副舟骨畸形

陕西用户   陕西中医学院第二附属医院
后天性扁平足

主诉 病史

患者,男,26岁,因“右足部外伤后疼7余年,加重6月 ”入院。

查体 辅查

右踝及足背肿胀不明显,右足副舟骨可见明显红肿,皮温正常,足趾活动无殊,末梢循环感觉正常。余肢体无殊。外院 X片示副舟骨畸形.

诊断 处理

初步诊断:右足副舟骨畸形,后天性扁平足.在全麻下行“右跟骨截骨内移+副舟骨切除+舟骨切复内固定术+石膏固定术”.

随访 讨论

术后予以预防感染、消肿、止痛、护胃等对症支持治疗。加强功能锻炼,加强营养。

发布于 15-06-21 00:56

0 个评论

暂无评论
发送