打开应用

肾上腺腺瘤,你真的了解这个疾病吗

程医师   成都市第二人民医院

主诉 病史

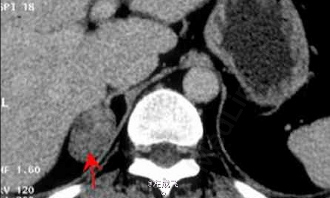
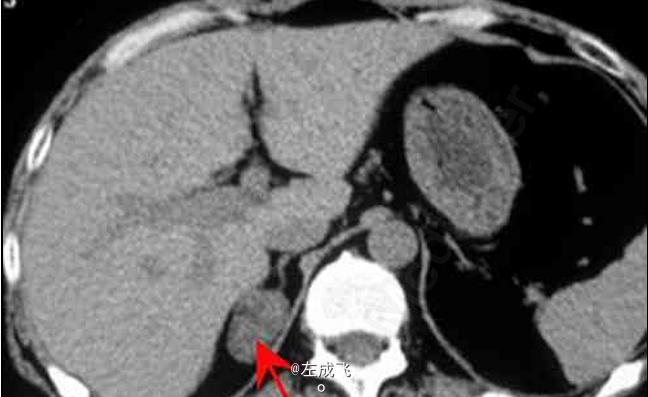
患者,男 ,45岁,因右肾上腺区肿瘤16天前来就诊

查体 辅查

患者体检时偶尔发现右肾上腺区肿块,无其他明显症状 辅查CT,平扫示右肾上腺类圆形肿块,边界清楚;增强扫描呈不均匀强化

诊断 处理

肾上腺腺瘤 处理:腹腔镜手术

随访 讨论

随访中

发布于 15-06-21 00:49

0 个评论

暂无评论
发送