下载或打开 医联APP 查看完整评论
立即下载
打开APP
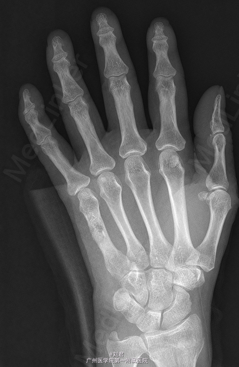
患者,女,51岁,因“摔伤致左腕肿痛伴活动障碍7天”入院。 患者7天前摔伤,左掌着地,致昨晚疼痛,疼痛为持续性,较剧,能忍,伴左腕活动障碍.
左腕石膏托固定,左腕肿胀,无明显畸形,压痛明显,左腕活动障碍,左手各指血运好,感觉正常,活动可。


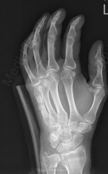
初步诊断:1、 左桡骨远端骨折,2、左手第5掌骨软骨类肿瘤。在臂丛复合静脉麻醉下行“左掌骨内生软骨瘤切除术”,手术过程顺利,术后予以对症治疗。


体温正常,伤口愈合可,无异常渗出,敷料包扎干燥,石膏固定中,摘除后关节活动可,左手末梢感觉血运无殊.
