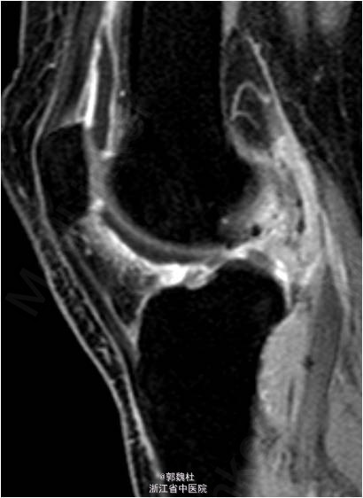
患者女,48岁,因“左膝关节色素绒毛结节性滑膜炎术后1年余”入院。患者1年前因色素绒毛结节性滑膜炎在我院行关节腔清理术,现术后1年,患者左膝关节出现肿痛,于外院行MRI检查提示色素绒毛结节性滑膜炎复发。现患者为求进一步诊治前来我院就诊,余未见明显异常。
查体:双下肢无畸形,左膝关节无静脉曲张、肿胀等,左膝腘窝 “反S”型手术疤痕,皮温正常,关节间隙压痛,麦氏征(-),蹲走试验(-),过伸试验(-),过屈试验(-),浮髌征(-),髌骨加压研磨试验(-),前抽屉试验(+),后抽屉试验(-),侧方应力试验(-),lachman征(-),关节活动度0-135度,股四头肌无明显萎缩,肌力正常;肢端血运、感觉、活动正常。右下肢及双上肢其余关节未见明显异常。

诊断:左膝关节色素绒毛结节性滑膜炎(PVNS)术后复发。行左膝关节镜检,关节内病灶清理术。术后开始行股四头肌肌力训练及踝泵训练,术后第3天开始主动肌力训练,术后第4天主动屈膝达90°,术后第5天可完全负重。
现患者随访6个月,左膝关节未见肿痛,未见复发。 色素绒毛结节性滑膜炎(PVNS)比较少见,有绒毛型和结节型两种,好发于膝关节和踝关节,其次髋、跗间、腕、肘等关节,偶也见于滑囊和腱鞘。本病可能是一种介乎炎症和良性肿瘤之间的滑膜疾病。其中绒毛型更近似炎症。膝关节受累时髌上囊及髌骨肿胀明显,积液多的浮髌试验阳性。增生的滑膜组织有时可穿破后关节囊而进入腘窝,并沿小腿后方肌间隙向下蔓延,产生深在的弥漫性肿胀。踝关节受累者肿胀在内、外踝周围最明显。髋关节受累时肿胀多位于髋关节前方。 手术切除比较彻底,对结节型病例尤为适宜。放射治疗对绒毛型较好,对结节型疗效不佳。弥漫性病变应切除全部的滑膜组织,才能避免复发。