1、排尿困难1年余伴左侧腹股沟可复性肿物半年 2、患者于1年余前无诱因出现排尿困难,无尿频、尿急、尿痛,随后出现肉眼血尿,无腹痛、腰痛,患者未予以重视。近半年无诱因发现右侧腹股沟区肿物,为椭圆形,约4cm*5cm大小,可进入阴囊,咳嗽、憋气、运动后肿物可加重,平卧、休息后可缩小,可自行回纳,无其他不适。既往高血压病史多年,自诉服药控制可,曾行左侧腹股沟疝气修补术
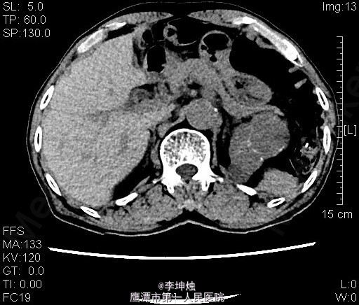
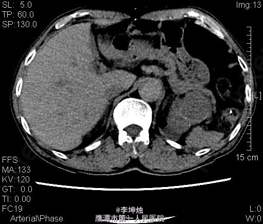
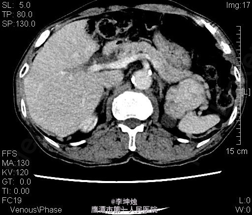
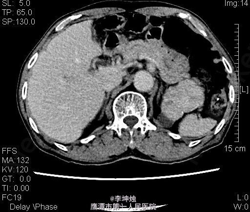
3、查体:增加腹压或站立位时右侧腹股沟隆起,可触及一大小约4*5cm肿物,可进入同侧阴囊,质软,边界清,无压痛,压迫肿物表面后嘱患者咳嗽,有冲击感,平卧或用手可将肿物回纳腹腔。直肠指检:肛门括约肌稍松弛,前列腺明显增大,大小约:3×4cm,表面光滑,质韧,边缘清楚,中央沟变浅,未触及明显结节,指套未见染血。 4、辅助检查:当地人民医院,腹部CT提示考虑左肾Ca可能;慢性膀胱炎;右侧腹股沟区见肠管嵌如;前列腺增生。我院双肾CT平扫+增强:左肾上极肿块,考虑肾癌,侵犯左肾上部皮髓质及左肾上盏,可疑侵及胰尾部。




5、诊断:左肾占位,左肾ca? 6、处理:入院完善相关检查,核素肾动态显像:双肾灌注轻度降低、功能中度受损。双肾+肾上腺CT:左肾上极肿块,考虑肾癌,侵犯左肾上部皮髓质及左肾上盏,可疑侵及胰尾部。排除手术禁忌后,行“腹腔镜下左肾根治+肾门淋巴结清扫术”,术后予“头孢哌酮钠舒巴坦钠(舒普深)”抗感染、抑酸、营养补液等处理,术后恢复可。病理提示嗜酸性细胞瘤。


7、肾嗜酸细胞瘤病因目前不明确,患病年龄与肾透明细胞癌相似,影响学结果相似,大多数患者的影像学检查结果很难与肾透明细胞癌相区别,由于部分患者肿瘤中央部有放射状疤,可以通过CT或MRI检查发现肿瘤中央星状瘢痕可为诊断本病提供帮助。确诊需依靠手术后病理检查。怀疑是肾嗜酸细胞瘤时,肿瘤大小和部位不影响保留肾单位手术,但由于术前多数患者不能被明确诊断,往往被误诊为肾癌而实施了根治性肾切除术。