打开应用

正畸直立下颌磨牙病例

唐医师   西南医科大学口腔医学院附属口腔医院

主诉 病史

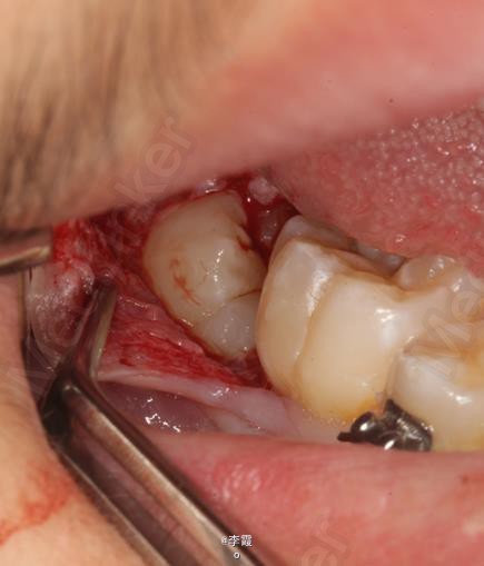
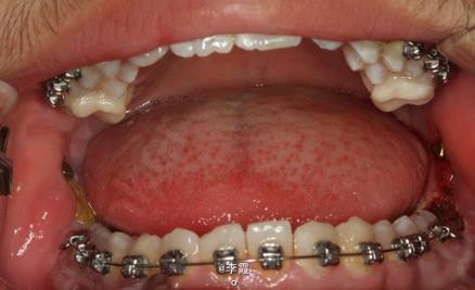
患者、马xx、15岁,主诉:牙齿不齐,要求正畸治疗。 转诊外科行下颌升支处种植体支抗直立下颌磨牙。通过患者的术前影像资料,47牙冠远中有部分骨质覆盖牙冠,采取翻瓣导萌直立磨牙。37采取电刀环切导萌直立磨牙。

诊断 处理

随访 讨论

恢复良好,患者满意。

发布于 15-06-20 01:16

0 个评论

暂无评论
发送