打开应用

埋伏尖牙的外科电刀开窗导萌

张医师   西安交通大学口腔医院

主诉 病史

患者、李xx、男、14岁。主诉:牙齿排列不齐,要求正畸治疗。平素体质一般,无药物、食物过敏史,无高血压、心脏病等系统性疾病。

查体 辅查

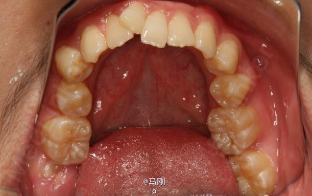
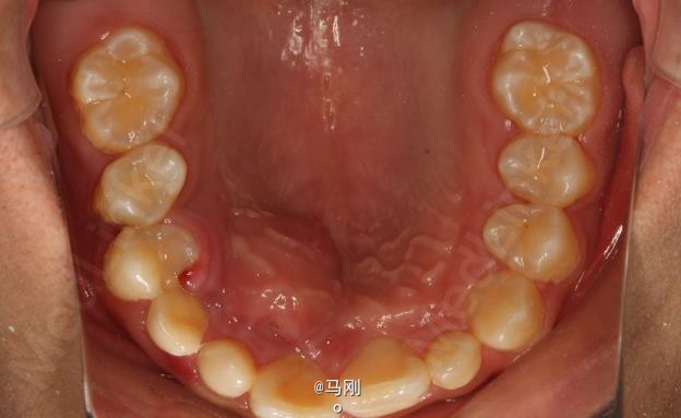
专科检查:右侧乳尖牙滞留,13腭侧粘膜轻度肿胀。CBCT检查:13位于腭侧。

诊断 处理

处理:建议拔除右侧乳尖牙,并外科开窗牵引导萌13。患者同意治疗方案。签知情同意书。

随访 讨论

效果很好。

发布于 15-06-20 00:54

0 个评论

暂无评论
发送