打开应用

家族性背部弹力纤维瘤1例

袁医师   成都肛肠专科医院
纤维瘤

主诉 病史

患者,女性,年龄64岁,“发现双侧肩胛下角包块6年,双侧包块部位疼痛2月”入院,既往史无特殊。家族史:患者有一姐姐10年前行右侧肩胛下角区包块切除,术后病理为弹力纤维瘤,术后5年左侧肩胛下发现硬质包块,考虑弹力纤维瘤,未手术。

查体 辅查

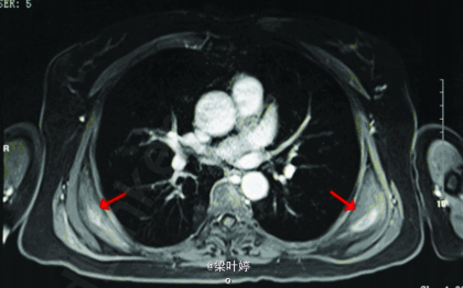
查体:双侧肩胛下角区域可扪及一直径约5cm 硬质类圆形包块,固定。余无特殊。 CT提示:双侧背阔肌及前锯肌深面对称性病变,增强后不均匀强化,周围脂肪间隙清楚。 MRI示::双侧对称性病变,位于背阔肌及前锯肌深面,增强后斑片状强化,周围脂肪间隙清晰,局部与肋骨骨膜关系紧密。

诊断 处理

术前穿刺病理诊断为弹力纤维瘤 行双侧弹力纤维瘤切除术。

随访 讨论

背部弹力纤维瘤为罕见的良性肿瘤,可能与异常外伤有关。好发于老年女性,常在无意中发现肩甲下角下方直径2~10mm的结节,无痛或轻度压痛。临床表现为呈坚实性直径数厘米的深在性软组织结节,手术切除为主要治疗手段。 弹力纤维瘤手术指征:1、病变大于5厘米;2、有疼痛症状或活动受限;3、无法与其他肿瘤鉴别

发布于 15-06-19 20:09

0 个评论

暂无评论
发送