下载或打开 医联APP 查看完整评论
立即下载
打开APP
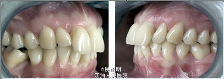
主述:上切牙凸出 女,22岁,无系统病史,有正畸史(14岁时,拔除了下颌两颗第一前磨牙)



前牙覆HE6mm,覆盖5mm;磨牙Ⅲ类关系;尖牙Ⅱ类关系;上下颌前牙区牙龈退缩;几乎全牙列都有深牙周袋,其中上下颌切牙处最深;探诊出血;患者有磨牙习惯。 上下中切牙和第一磨牙有明显的垂直性骨吸收,牙周医师诊断为侵袭性牙周炎

诊断:侵袭性牙周炎,牙列拥挤 矫治目标: 1.消除HE创伤 2.排齐牙列,便于清洁口腔 3.重建颜面美观



自锁托槽不需要外物帮助结扎,摩擦力低。不易钩挂食物残渣,托槽体积相对较小,清洁起来相对容易。自锁托槽低摩擦力和持续释放柔和轻力的特点,非常符合牙周病患者的需求。从这个病例治疗后根尖片上可见牙槽骨没有继续吸收,反而有骨质的增生。



