患者女,69 岁法国籍贯白人女性,因上腹疼就诊。 现病史:平素月经规则,G2P2A0,无不良妊娠史。自觉下腹部可触及一大型、固定、无触痛、明显的包块。腹部B超示下腹部出现增强的不透光区,高度怀疑“卵巢癌”而入院。 既往史:胃-食管反流症、高血压病和焦虑症。
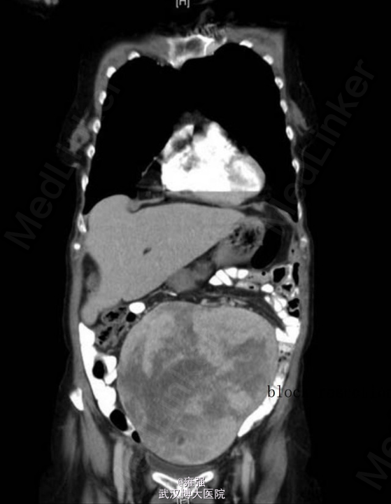
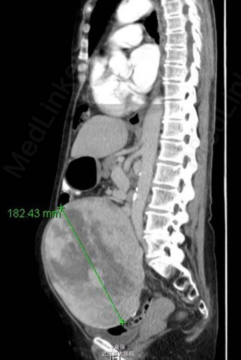
辅检:肿瘤标记物(CEA、CA19-9、CA125)均在正常范围,入院后腹部X片示下腹部出现增强的不透光区(如下图示)。术前TAP分段CT示盆腔内大型、界限清楚、中线测量为 18.8 cm×13.3 cm×18.2 cm、混合衰减的包块(如下图示),位于子宫前、膀胱之上,独立于子宫存在,考虑为起源于卵巢。




诊断:术前诊断“卵巢癌”,拟行子宫全切+双侧输卵管+卵巢切除+网膜切除术。 术中发现卵巢和子宫正常,但见小肠系膜前表面有一个大型包囊的包块(如下图示),肿物距离十二指肠空肠曲 340 cm 远,回肠末端 30 cm 远,因此完整切除回肠末端、小肠系膜和小肠,一期吻合。 术后病理示: 41 cm长小肠,大小为 18 cm×15 cm×11.5 cm 的卵状团块伴有完整和部分的纤维化包囊,为肾上腺外副交感神经节瘤。此瘤具有纤维包囊、由统一细胞组成的可变固性的小叶和巢状成分(如下图示)。肿瘤免疫组化显示嗜铬素A、突触素、CD56、S100 和 5%Ki67 阳性,在一个切片中发现存在淋巴血管微浸润。


随访:病人术后恢复阶段良好、血压正常。此案例经当地地区神经内分泌科多学科会议讨论得出病人需要进行重复影像学和每年随访以检测疾病进展。在约定的术后6周随访没有发现并发症或血压的改变。经组织病理和多学科小组讨论强调了此疾病进程的不可预测性和每年随访施行CT影像学检测的重要性,几个月电话随访病人情况保持良好、恢复了良好的生活质量。 讨论:嗜铬细胞瘤是一种罕见疾病,高血压病人发生率为 0.2%-0.6%;可分为两类:肾上腺髓性嗜铬细胞瘤和肾上腺外嗜铬细胞瘤(也称为副神经节瘤),后者占全部的 15-20%。因为此病可有多种临床表现,作为一种沉默的非功能性肿瘤,副神经节瘤的诊断需要医生的高度怀疑。一旦具有了分泌儿茶酚胺、肾上腺素、去甲肾上腺素或多巴胺的功能,该肿瘤将表现出功能性。案例中病人术中血压控制没有出现问题。回顾性考虑,这可能是因为此肠系膜副神经节瘤是非功能性的。目前来说,CT是诊断该病的最佳影像学手段,但如案例中展示,在没有临床怀疑下,只基于CT的影像学对副神经节瘤的诊断具有挑战性,这是因为肿物可表现为同质或异质性,实性、囊性或坏死。副神经节瘤和嗜铬细胞瘤所展现出的>10 Hounsfield单位的较高衰减区域可作为其特征。 BMJ Case Rep. 2015 May 12;2015. pii: bcr2015209601. doi: 10.1136/bcr-2015-209601.