患者,男性,43岁。 主诉:间断上腹痛4年,腹胀1周 现病史:4年前因饮酒及进食油腻饮食后反复出现上腹痛,于外院确诊为“胰腺炎”,对症治疗后好转,近3个月来上述症状发作次数逐渐增多,治疗后好转,1周前饮酒后再发上腹痛,治疗后腹痛稍好转,渐出现腹胀症状,自觉腹围增大,伴呼吸困难、乏力,体重明显下降(>15kg),无心悸、气促及胸痛症状,无呕吐、呕血及黑便。当地医院诊断为“慢性胰腺炎,腹腔积液原因待查”,经治疗后腹胀无缓解。我院以“腹腔积液原因待查”收入院。 既往有右侧肾上腺良性肿瘤切除史及长期饮酒史,无肝炎史及血吸虫疫水接触史,无其他疾病史。
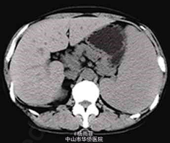
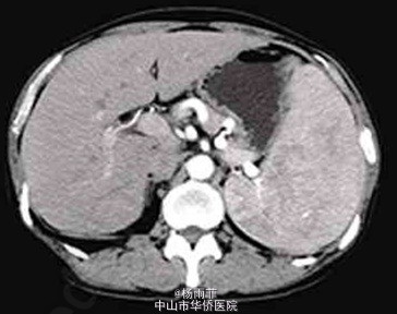
体格检查:体温37℃,脉搏84次/分,血压138/89mmHg,神志清楚,皮肤黏膜无苍白及黄染,浅表淋巴结未触及,颈软,双肺呼吸音清晰,心律齐,未闻及杂音,腹膨隆,触诊质软,无压痛,肝脾肋下未触及,移动性浊音阳性,双下肢不肿。 血常规检查:白细胞3.32×109/L,红细胞3.19×1012/L,血红蛋白93g/L,血小板273×109/L,尿常规及大便常规检查正常,肝肾功能正常,血清白蛋白正常,血淀粉酶534U/L(正常值125U/L),血清肿瘤标志物(甲胎蛋白、癌坯抗原、糖链抗原19-9)正常。 腹水常规检查:李凡他试验阴性,红色,细胞总数54473×106/L,白细胞473×106/L,单个核细胞95%,腹水生化检查:总蛋白35.9g/L,总胆固醇1.46mmol/L,乳酸脱氢酶122U/L,腺苷脱氨酶9U/L。腹水淀粉酶340U/L,腹水-血清白蛋白梯度14g/L。腹水细胞学检查见部分红细胞、淋巴细胞及间皮细胞,未见癌细胞。 乙型肝炎病毒表面抗原阴性,丙型肝炎病毒抗体阴性。 影像学检查: 胃镜检查示胃底静脉曲张,食管与胃黏膜未见异常; 门静脉CT成像显示脾静脉全程、肠系膜上静脉与脾静脉汇合处管腔明显变窄,以脾静脉为著,胃底静脉曲张,门静脉主干及肝内分支形态、走行未见明显异常,胰体头部钙化灶,尾部形态饱满,边缘模糊,见数个囊状影;腹腔大量积液。



诊断为胰源性门脉高压症(PSPH)。 给予禁食、抑酸、生长抑素、抗感染及利尿治疗后症状缓解,患者腹水消退后出院。
胰源性门脉高压是因胰腺病变导致脾静脉阻塞,血液回流受阻,继而脾脏肿大,并形成侧支循环,产生门脉高压症状,主要表现为腹痛、腹泻、黑便、贫血、呕血、腹胀、腹围增大等,其中上消化道出血和脾肿大是患者的主要首发症状,发生腹水相对较少,脾功能亢进多为轻到中度。上消化道出血因静脉曲张引起,胃底静脉曲张明显多于食管下段静脉曲张,其中没有肝硬化的孤立性的胃底静脉曲张是胰源性门脉高压最具有特征的表现。