下载或打开 医联APP 查看完整评论
立即下载
打开APP
患儿女,9岁11个月,因“咳嗽伴气促并进行性加重半个月”入院。
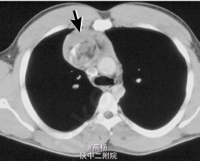
查体:口唇发绀,呼吸急促,吸气相呈轻度三凹症,右侧胸廓饱满,呼吸活动度减弱,听诊呼吸音减轻,叩诊呈实音,心音中,律齐。 辅查:胸片:右侧肺野密度增高影。CT:右侧胸腔混杂密度软组织肿块。如图。


诊断:右纵膈畸胎瘤 处理:予半高卧位,辅以吸氧、雾化、止咳等对症支持治疗。于全麻下行肿块切除术,选择右前外侧第六肋间切口进胸,膨肺探查右肺组织发育良好。术后称量肿瘤实性组织1.15kg。术后病理:肿瘤囊、实性共存,由成片皮肤、肠管、软骨、骨、神经组织及纤维脂肪组织构成。局部见少量实质尚未成熟的神经组织及腺管,但未见内胚窦,病理科建议可不予化疗,常规随访。术后予补液、营养支持等对症处理,病情稳定后出院。
随访:一个月后患儿至门诊复查,胸片未见异常。 探讨:,纵膈畸胎瘤一旦确诊,必须争取早期手术切除,以避免良性畸胎瘤因耽搁手术而导致肿瘤恶变,本例患儿压迫症状明显,处置及时,予以借鉴。