下载或打开 医联APP 查看完整评论
立即下载
打开APP
打开应用
楔状缺损的充填
聂医师
高阳口腔疾病防治所
楔状缺损
楔状缺损
楔状缺损
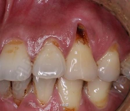
主诉 病史
患者,男,40岁,左上第一前磨牙楔状缺损来诊。平素体质一般,无系统性疾病和高血压、心脏病等病史,无药物、食物过敏史。
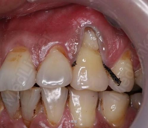
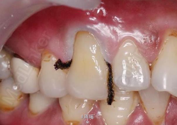
诊断 处理
树脂修补
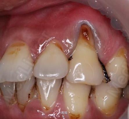
随访 讨论
效果很好,患者满意。
发布于 15-06-18 23:13
医联推荐你看
楔状缺损
楔状缺损美容修复
楔缺树脂充填治疗
共
8
个评论
查看更多评论
发送
0